Axillary tumor deposits in primary breast carcinoma: a case report – Journal of Medical Case Reports

Report on the Prognostic Significance of Tumor Deposits in Breast Carcinoma and its Implications for Sustainable Development Goal 3
1.0 Introduction: Advancing Cancer Diagnostics for Global Health
In alignment with the United Nations Sustainable Development Goal 3 (SDG 3), which aims to ensure healthy lives and promote well-being for all, this report examines the emerging role of Tumor Deposits (TDs) in breast cancer pathology. Specifically, addressing Target 3.4—reducing premature mortality from non-communicable diseases—requires continuous improvement in cancer diagnosis, prognosis, and treatment. This report details the findings on TDs, a controversial yet potentially critical prognostic factor, based on a recent case study and a review of existing literature.
2.0 Case Analysis and Diagnostic Criteria
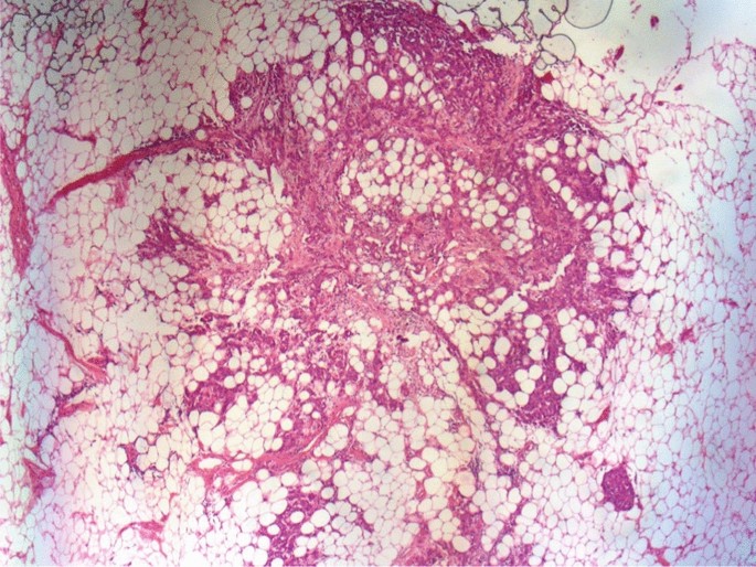
A case was documented involving a patient with high-grade luminal B, HER2-positive invasive breast carcinoma who, following a mastectomy and axillary dissection, was found to have 14 TDs associated with five lymph node metastases. The identification of these TDs is a critical step in advancing patient care and contributes directly to the objectives of SDG 3.
2.1 Standardized Identification Criteria
The identification of TDs in this case was based on established criteria from colorectal cancer (CRC) research, highlighting the need for standardized diagnostic protocols to ensure equitable and effective healthcare globally. The criteria include:
- Absence of a lymphocytic peripheral rim.
- Absence of a capsule.
- Absence of a residual vascular wall or neural structure within the tumor cluster.
While not yet incorporated into the formal N classification for breast cancer, the presence and number of TDs were explicitly documented in the pathological report, advocating for a more comprehensive approach to cancer staging.
3.0 Prognostic Impact of Tumor Deposits Across Carcinomas
The presence of TDs is a significant indicator of patient outcomes, and understanding their impact is crucial for developing treatment strategies that reduce cancer mortality, a core component of SDG 3. While data on breast cancer is limited, evidence from other carcinomas provides a strong basis for their prognostic relevance.
3.1 Findings from Gastrointestinal Cancers
Research in other cancers has consistently demonstrated the negative prognostic value of TDs:
- Colorectal Cancer (CRC): Studies show that patients with TDs have worse outcomes, even with a similar number of positive lymph nodes. TDs are correlated with lymph node metastases, extramural vascular invasion, and a decrease in 5-year overall survival.
- Gastric Cancer: TDs are linked to an increased risk of recurrence, reduced survival, and other poor prognosis factors such as vascular and perineural invasion.
3.2 Emerging Evidence in Breast Cancer
Though a newer area of study, initial findings in breast cancer align with those from other malignancies, underscoring the urgency for further research to meet global health targets.
- A univariate study revealed that the risk of distant metastases is 3.3 times higher in breast cancer patients with TDs.
- The same study noted significantly lower 10-year disease-free survival (67.2%) and overall survival (73.7%) rates in patients with TDs.
- TDs have also been strongly associated with a higher burden of positive non-sentinel lymph nodes, suggesting a potential need to reconsider therapeutic approaches like axillary lymph node dissection (ALND).
4.0 Diagnostic and Classification Challenges: Barriers to Achieving Health Equity
Achieving the goals of SDG 3 requires overcoming challenges in diagnostics that can lead to health disparities. The accurate classification of TDs presents several such obstacles.
4.1 Histological Ambiguity
Distinguishing TDs from metastatic lymph nodes, particularly those with extracapsular extension, is a significant challenge. This distinction is critical, as extracapsular extension is itself a powerful indicator of poorer prognosis. Factors that complicate histological interpretation include:
- Distorted lymph node architecture that can mimic TDs.
- Fibrosis and chronic inflammatory changes resulting from neoadjuvant chemotherapy and radiotherapy.
4.2 Inconsistencies in TNM Staging Systems
The lack of a universal classification system for TDs hinders the global effort to standardize cancer care. This reflects a need for greater innovation and partnership in medical research, aligning with SDG 9 (Industry, Innovation, and Infrastructure) and SDG 17 (Partnerships for the Goals).
- CRC: TDs are formally incorporated into the TNM classification as pN1c in the absence of lymph node metastases.
- Gastric Cancer: Classification remains controversial, with proposals to consider TDs as serosal infiltration (T4a), include them in the N category, or classify them as N3 or M1 depending on their number.
- Breast Cancer: The inclusion of TDs in the TNM staging system has not yet been formally considered, despite growing evidence of their prognostic importance.
5.0 Conclusion and Recommendations for Aligning with SDG 3
The evidence strongly suggests that Tumor Deposits are a significant negative prognostic factor in breast cancer, with direct implications for patient survival and quality of life. To advance the mission of SDG 3 and reduce premature mortality from cancer, it is imperative that the global medical community addresses this emerging entity. This case report underscores the critical need to consistently identify TDs and explicitly mention their presence and number in all pathological reports for breast cancer. Further research and international collaboration are required to standardize diagnostic criteria and formally integrate TDs into the breast cancer staging system, ensuring that all patients receive the most accurate prognosis and effective treatment possible.
Analysis of Sustainable Development Goals (SDGs) in the Article
-
SDG 3: Good Health and Well-being
- The article directly contributes to SDG 3 by focusing on improving the understanding and management of cancer, a major non-communicable disease. The research on tumor deposits (TDs) in breast cancer aims to enhance diagnostic accuracy, refine prognostic predictions, and guide therapeutic decisions. The text explicitly mentions the “prognostic importance,” “overall survival,” and “therapeutic implications” of identifying TDs, all of which are central to ensuring healthy lives and promoting well-being for cancer patients.
Specific SDG Targets Identified
-
Target 3.4: By 2030, reduce by one-third premature mortality from non-communicable diseases through prevention and treatment and promote mental health and well-being.
- The article addresses this target by investigating a factor (TDs) that is linked to poorer outcomes in cancer patients. It states that in colorectal cancer, patients with TDs had “worse outcomes” and that several studies have shown a “decrease in 5-year overall survival” when TDs are present. By advocating for the systematic identification and reporting of TDs, the research aims to prevent “undertreatment” and improve treatment strategies, which would directly contribute to reducing premature mortality from cancer.
-
Target 3.d: Strengthen the capacity of all countries… for early warning, risk reduction and management of national and global health risks.
- The article highlights the need to strengthen the capacity for managing the health risks associated with cancer. It points out that the “diagnosis remains challenging” and discusses the importance of standardized criteria for identifying TDs. The debate around incorporating TDs into the official TNM staging system for breast cancer, as has been done for colorectal cancer, is a clear effort to improve and standardize risk assessment and management for patients. This refinement of diagnostic and staging protocols enhances the medical community’s ability to manage the disease effectively.
Indicators for Measuring Progress
-
Cancer Survival and Recurrence Rates
- The article implicitly uses survival and recurrence rates as key indicators to demonstrate the importance of TDs. It cites specific metrics such as “10-year disease-free survival rate and overall survival were 67.2% and 73.7%,” a “decrease in 5-year overall survival,” and an “increased risk of local recurrence.” These statistics serve as direct measures to evaluate the impact of specific pathological features on patient outcomes and the effectiveness of current treatment protocols.
-
Standardization of Diagnostic and Staging Classifications
- The article implies that the formal adoption of new criteria into established medical guidelines is an indicator of progress. It repeatedly refers to the TNM classification system, noting that TDs “were formally incorporated into the 7th and 8th editions of the CRC TNM classification” but “have not been considered yet” for breast cancer. The development, debate, and implementation of such standardized systems for diagnosis and staging are crucial for ensuring consistent and appropriate patient care, thereby serving as a measure of advancement in health risk management.
Summary Table of SDGs, Targets, and Indicators
SDGs | Targets | Indicators |
---|---|---|
SDG 3: Good Health and Well-being Focuses on improving health outcomes for patients with non-communicable diseases like cancer. |
|
|
Source: jmedicalcasereports.biomedcentral.com
What is Your Reaction?






